Lecture Notes#

Brain Structure#

Microscale
Neurons and glia; myelin speeds conduction; demyelination impacts function.

Macroscale
Cortex, cerebellum, brainstem, corpus callosum. Distributed networks enable cognition (often small-world & modular).

Neuron Anatomy#

Neuron anatomy
This diagram shows the soma (with nucleus, nucleolus, mitochondria, rough/smooth ER), dendrites with synapses, and the axon hillock extending into a myelinated axon with Schwann cells and nodes of Ranvier. It highlights how neuronal structure supports electrical excitability and chemical transmission.

Default Mode Network (DMN)#

DMN regions
Default Mode Network regions from a literature review.

DMN connectivity
Main regions of the DMN (yellow) and connectivity between them color-coded by structural traversing direction (xyz → rgb).

Modality Cheat-Sheet#

Modality

Measures

Temporal

Spatial

Invasiveness

Typical Uses

Structural MRI (T1/T2/FLAIR)

Anatomy

mm

Non-invasive

Tumors, morphometry, tract context

CT

X-ray density

mm

Ionizing

Acute bleed, bone

fMRI (BOLD)

Hemodynamic proxy

s

mm

Non-invasive

Cognitive mapping, resting-state

EEG

Scalp voltages

ms

cm (inverse-limited)

Non-invasive

Fast dynamics, oscillations, BCIs

MEG

Magnetic fields

ms

~cm

Non-invasive

Millisecond timing + decent localization

fNIRS

Hemoglobin changes

s

cm (surface)

Non-invasive

Bedside, pediatrics

PET

Radiotracers

min

mm–cm

Radioactive

Molecular targets

Example Images#

MRI

MRI scanner
Magnetic Resonance Imaging (MRI) scanner. Non-invasive technique using magnetic fields and radiofrequency pulses to produce high-resolution images of soft tissues.

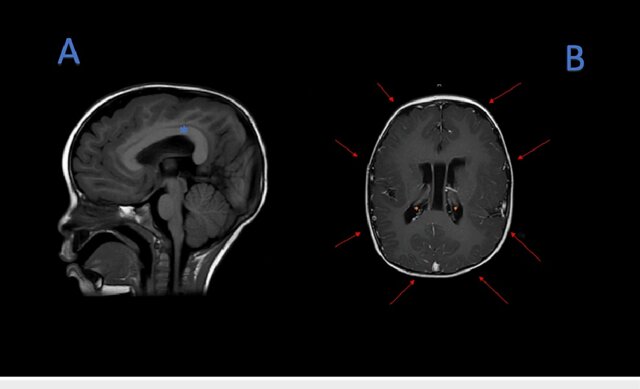
MRI T1 sequences
(A) MRI T1 sequence, thickening of the corpus callosum (blue asterisk). (B) MRI T1 sequence, pachygyria (red arrows), subependymal neuronal heterotopias (orange asterisk).

EEG

EEG cap
EEG cap placement. Non-invasive scalp electrodes allow recording of brain oscillations with millisecond resolution.

EEG analysis pipeline
EEG analysis pipeline: preprocessing → filtering into frequency bands (δ, θ, α, β, γ) → source localization → Hilbert envelopes → functional brain networks.

Pipeline for Neuroimaging ML#

  1. Acquisition → metadata (TR/slice timing, channel montage, filters)

  2. Pre-processing

    • MRI/fMRI: motion, slice timing, distortion, co-registration, normalization; denoise confounds

    • EEG/MEG: filtering, bad channels, ICA/SSP for EOG/EMG/ECG, re-reference, epoching

  3. Features

    • MRI: volumes, cortical thickness/shape, tractography; parcellation → connectomes

    • fMRI/EEG/MEG: GLMs; resting-state networks; spectra (α, β, γ), ERPs/ERFs; connectivity (coherence/PLV)

  4. Models: regularized ML for low-N/high-D; deep nets for large cohorts or with SSL

  5. Validation: subject/site CV; leakage control; pre-registered metrics

  6. Interpretation: saliency in brain space; ROI ablations; uncertainty

Case Vignettes#

  • Sleep & Memory — Spindles/slow waves show distinct hemodynamic correlates; selective processing persists in light NREM.

  • Resting-State (DMN) — Task-negative network; subject fingerprints; predicts task recruitment.

  • Language — Wernicke (comprehension) & Broca (production/structure) with task/multimodal activations.

  • Reward — Basal ganglia & midline cortices track reward type/value; shared cores + specific patterns.

  • BCIs — Intracortical arrays can control robotic arms (e.g., BrainGate2).

Visual Extras#

TMS schematic
Transcranial Magnetic Stimulation (TMS). A magnetic coil placed over the scalp generates a magnetic field that induces an electric current in underlying cortical tissue. Depending on coil placement, regions such as the motor cortex or dorsolateral prefrontal cortex can be selectively stimulated.

Practical Design Patterns for Clinics#

  • If task performance is impossible: use resting-state fMRI to predict task maps; validate with intra-op mapping if available.

  • Focal epilepsy: semi-auto lesion segmentation with radiologist-in-the-loop weak labels.

  • EEG for depression: multichannel features (band powers, asymmetry, coherence/PLV), robust subject-wise CV, site harmonization.

  • Neuroeducation: start with eye-tracking + behavior; add EEG/fMRI on subsets for latent-state modeling.

References#

  • Huneau, 2015 — Link

  • Hillman, 2014 — Link

  • Dang-Vu, 2011 (PNAS) — Link

  • Hochberg, 2012 (BrainGate2) — Link